Artigo

Acesso aberto Revisado por pares

14261

Visualizações

 


Casos Clínicos Discutidos

Herpes zoster oftálmico e neurite óptica pelo varicela-zoster: relato de caso

Ophthalmic herpes zoster and optic neuritis by varicella-zoster virus: a case report

Herpe zoster oftálmico y neuritis óptica por el varicela-zoster: relato de caso

Juliano De Marchi Silveira1; Bruna Oliveira Vitor2; Kellen Cristiane do Vale Lucio3

DOI: 10.17545/eoftalmo/2019.0009

RESUMO

O Herpes Zoster Oftálmico (HZO) é a reativação do vírus varicela-zoster (VZ) no ramo oftálmico do nervo trigêmeo, patologia que acomete mais idosos e pacientes imunocomprometidos. Neurite óptica, sequela muito rara de HZ, pode ocorrer simultaneamente à erupção cutânea vesicular aguda ou, mais frequentemente, como complicação pós-herpética. Este é o relato do caso de uma mulher de 62 anos que desenvolveu a neurite óptica cerca de 15 dias após a erupção cutânea em vigência de tratamento com subdose de aciclovir. Apesar disso, com o tratamento correto teve recuperação da acuidade visual. Considera-se importante valorizar o exame oftalmológico completo e o tratamento adequado para evitar sequelas irreversíveis.

Palavras-chave: Aciclovir; Herpes Zoster Oftálmico; Neurite Óptica.

ABSTRACT

Ophthalmic herpes zoster (OHZ) is the reactivation of varicella-zoster virus (VZV) in the ophthalmic branch of the trigeminal nerve. This condition occurs more frequently in elderly individuals and immunocompromised patients. Optic neuritis, an extremely rare sequela of HZ, occurs either simultaneously with the acute vesicular rash or, more frequently, as a postherpetic complication. Here we report the case of a 62-years-old woman who developed optic neuritis approximately 15 days after the rash, while being treated with a subtherapeutic dose of acyclovir. Nonetheless, with appropriate treatment, her visual acuity recovered. Thus, complete ophthalmological examination and adequate treatment to prevent irreversible sequelae are considered of utmost importance.

Keywords: Acyclovir; Herpes Zoster Ophthalmicus; Optic Neuritis.

RESUMEN

El Herpe Zoster Oftálmico (HZO) es la reactivación del virus varicela-zoster (VZ) en la rama oftálmica del nervio trigémino, patología que acomete más a adultos mayores y a pacientes inmunocomprometidos. La neuritis óptica, secuela muy rara de Hz, puede ocurrir simultáneamente a la erupción cutánea vesicular aguda o, más frecuentemente, como complicación post-herpética. Éste es el relato del caso de una mujer de 62 años que desarrolló la neuritis óptica cerca de 15 días tras la erupción cutánea en vigencia de tratamiento con subdosis de aciclovir. Sin embargo, con el tratamiento correcto, tuvo recuperación de su acuidad visual. Se considera importante valorar el examen oftalmológico completo y el tratamiento adecuado para evitar secuelas irreversibles.

Palabras-clave: Aciclovir; Herpes Zóster Oftálmico; Neuritis Óptica.

INTRODUÇÃO

O HZO é uma doença aguda que se caracteriza pela reativação do vírus VZ latente no ramo oftálmico do nervo trigêmeo1. A patologia ocorre pela inflamação do gânglio de Gasser (trigeminal), do qual se espalha pelo ramo oftálmico do nervo trigêmeo. Sua fase prodrômica se inicia por mal-estar, cefaléia, febre e náusea, seguido, na maioria dos casos, por dor (variando em gravidade e tipo) na zona do dermátomo da futura erupção. A dor ocorre de um a dez dias antes da erupção. A área afetada é parestésica ou hiperestésica e extremamente sensível ao toque. Em casos raros, a dor começa simultaneamente com a erupção ou pode nunca ocorrer. A erupção cutânea vesicular é normalmente unilateral, limitada pela linha média. Uma vez estabelecida a doença, a cefaléia e o mal-estar raramente são notados, e outros sintomas sistêmicos são muito raros5. Essa doença afeta mais idosos e pacientes imunocomprometidos, ocasionado inúmeras complicações oculares como ceratites epiteliais, estromais e numulares, glaucoma, atrofia da íris, sinéquia posterior, esclerite, distúrbios motores, neurite óptica, retinite, necrose do segmento anterior e phthisis bulbi e neuralgia pós-herpética grave. A neurite óptica nesses casos é bem documentada na literatura, mas pouco reportada como doença2-4. Frequentemente se manifesta como perda gradual da visão em 1 ou 2 semanas após o aparecimento das lesões cutâneas, entretanto pode ocorrer juntamente com rash vesicular. Na maioria dos casos ocorre defeito pupilar aferente e, ao exame oftalmológico, o disco óptico pode estar normal ou com edema e hiperemia. O prognóstico visual desses pacientes normalmente é reservado6.

 

OBJETIVO:

Relatar caso de Neurite Óptica pelo vírus varicela-zoster como complicação rara de um quadro prévio de Herpes Zoster Oftálmico, em paciente imunocompetente que teve boa recuperação da acuidade visual.

 

RELATO DE CASO

Mulher de 62 anos compareceu ao Pronto Socorro do Hospital das Clínicas da Faculdade de Medicina com história de dor importante e aparecimento de múltiplas vesículas e crostas em região frontal direita há 2 semanas (Figura 1) e queixa de queda da acuidade visual (AV) há 3 dias em olho direito (OD). Paciente estava em uso de subdose de Aciclovir via oral (200mg de 4 em 4 horas) para tratamento de Herpes Zoster, há 1 semana. Ao exame oftalmológico: AV 0,3/0,7 (com fenda estenopeica), motilidade ocular externa preservada e reflexos pupilar direto e consensual preservados, sem defeito pupilar aferente relativo. Ao exame de biomicroscopia foi evidenciando desepitelização linear em setor temporal corando com fluoresceína, além de puntatas difusas pela córnea em OD. Não houve alteração da pressão intra-ocular. Em exame de fundoscopia de OD foi observado disco óptico com limites mal definidos, com elevação em setor temporal, sem demais alterações (Figura 2). Com base na história clínica e exame oftalmológico foi feito diagnóstico de Neurite Óptica pelo Varicela Zoster e Herpes Zoster Oftálmico.

 


Figura 1. Imagem do rosto da paciente com a erupção cutânea do herpes zoster oftálmico.

 

 


Figura 2. Imagem em lâmpada de fenda que demonstra disco óptico direito de limites mal definidos e elevação em setor temporal.

 

Optado por internação hospitalar para curso de Aciclovir endovenoso (10mg/kg) e Prednisona (1mg/kg) durante 7 dias. Devido ao quadro, foi realizada investigação clínica e de imunocompremetimento em conjunto com neurologia e infectologia, mas não foi encontrada nenhuma outra patologia além do Diabetes Mellitus tipo 2. Após o tratamento, a paciente apresentou regressão completa das lesões cutâneas, AV de 0,7/0,8 (com fenda estenopeica), fundo de olho com ausência de elevação de disco óptico e manutenção de limites mal definidos apenas em setor temporal superior (Figura 3) e ao exame de angiofluoresceinografia, ainda apresentava hiperfluorescência de disco óptico (Figura 4). Paciente segue em acompanhamento com equipe de neuro-oftalmologia e terapia antálgica (devido neuralgia pós-herpética).

 


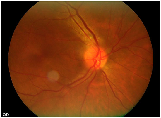
Figura 3. Retinografia demonstrando ausência de elevação de disco óptico direito e manutenção de limites mal definidos apenas em setor temporal superior.

 

 


Figura 4. Angiofluoresceinografia demonstrando hiperfluorescência de disco óptico direito.

 

CONCLUSÃO

O herpes zoster oftálmico resulta da reativação do vírus varicela-zoster latente do gânglio trigeminal. A diminuição da imunidade celular é provavelmente a principal causa de reativação do vírus VZ, com a imunidade humoral intacta na maioria dos pacientes durante a reativação7. As manifestações oculares ocorrem em aproximadamente 17% dos casos de HZO8 e possuem um espectro diverso de manifestações, entre elas a doença ocular externa (erupção vesicular), o acometimento do segmento anterior (ceratite intersticial ou ceratite disciforme, erosão epitelial puntata ou dendrítica, redução da sensibilidade ocular, esclerite, uveíte e elevação da pressão ocular), e do segmento posterior (vasculite retiniana, coroidite, necrose aguda da retina). O envolvimento do nervo óptico é uma sequela rara no HZO e pode se manifestar como papilite, neurite retrobulbar ou infarto do nervo óptico4. O prognóstico visual é geralmente ruim na neuropatia óptica do HZO.

O mecanismo preciso subjacente à neuropatia óptica no HZO é desconhecido. A inflamação do nervo óptico pode resultar da infecção direta do nervo através do seio cavernoso9. Um segundo mecanismo envolveria uma infecção sistêmica ou do sistema nervoso central, com uma resposta imune reativa levando ao edema do disco óptico. Uma distinção clara entre os dois mecanismos propostos nem sempre é possível. O terceiro mecanismo envolveria desmielinização inflamatória, uma condição conhecida como neurite óptica infecciosa, que pode ser unilateral ou bilateral, desenvolvendo-se 1-3 semanas após uma infecção viral.

O aciclovir tem sido a droga de escolha na terapia da infecção por herpes zoster. A dose recomendada para o aciclovir é de 5-10 mg / kg administrada por via intravenosa a cada 8 horas10, iniciando o tratamento idealmente nas primeiras 72 horas. O uso concomitante de corticosteroide e um antiviral, embora não seja contraindicado em um paciente imunocompetente, permanece controverso em consideração ao equilíbrio entre os benefícios da antiinflamação e neuroproteção, por um lado, e os riscos de maior supressão da imunidade do hospedeiro7. Em um estudo, tais regimes não afetaram a neuralgia pós-herpética, embora a resolução da neurite aguda tenha sido acelerada11.

No caso descrito, a paciente era imunocompetente, mas o tempo de tratamento com subdose de Aciclovir pode ter sido o fator que contribui para o acometimento do nervo óptico. Assim, em todo o quadro de HZO é vital o exame oftalmológico completo e minucioso, visto a gama de manifestações oculares possíveis, que podem levar a um prejuízo da acuidade visual irreversível em alguns casos. Dessa maneira, após diagnóstico de Neurite Óptica e o tratamento adequado com Aciclovir endovenoso e corticoide, a paciente apresentou melhora do edema de disco óptico e melhora importante da acuidade visual. A questão que permanece é se essa melhora da acuidade visual está relacionada ao fato da paciente ser imunocompetente ou o tratamento da neurite óptica ter sido prontamente estabelecido e realizado com Aciclovir endovenoso e corticoide sistêmico em conjunto, apesar da literatura não ter consenso sobre esse uso.

 

REFERÊNCIAS

1. Gilden DH, Kleinschmidt-DeMasters BK, LaGuardia JJ, Mahalingam R, Cohrs RJ. Neurologic Complications of the reactivation of varicella-zoster virus. N Engl J Med [Internet]. 2000 Mar 2 [cited 2018 Nov 10]; 342(9):635-645.

2. Marsh RJ, Cooper M. Ophthalmic herpes zoster. Eye [Internet]. 1993 May [cited 2018 Nov 10]; 7(3):350-370.

3. Lexa FJ, Galetta SL, Yousem DM, Farber M, Oberholtzer JC, Atlas SW. Herpes zoster ophthalmicus with orbital pseudotumor syndrome complicated by optic nerve infarction and cerebral granulomatous angiitis: MR-pathologic correlation. AJNR Am J Neuroradiol [Internet]. [cited 2018 Nov 10]; 14(1):185- 190.

4. Özdemir Ö, Ozdemir O. Bilateral retrobulbar neuritis following unilateral herpes zoster ophthalmicus. Ophthalmologica [Internet]. 1994 [cited 2018 Nov 10]; 208(2):61-64.

5. Ostler HB, Thygeson P. The ocular manifestations of herpes zoster, varicella, infectious mononucleosis, and cytomegalovirus disease. Surv Ophthalmol [Internet]. [cited 2018 Nov 10]; 21(2):148-159.

6. Wang AG, Liu JH, Hsu WM, Lee AF, Yen MY. Optic neuritis in herpes zoster ophthalmicus. Jpn J Ophthalmol [Internet]. [cited 2018 Nov 10]; 44(5):550- 554.

7. Weller TH. Varicella and Herpes Zoster. N Engl J Med [Internet]. 1983 Dec 8 [cited 2018 Nov 10]; 309(23):1434-1440.

8. Schmidt P. Herpes zoster ophthalmicus with retrobulbar neuritis. A case report. Acta Ophthalmol [Internet]. 1983 Jun [cited 2018 Nov 10]; 61(3):501- 509.

9. Monteiro MLR, Zangalli AL. Série oftalmologia brasileira: Neuro-oftalmologia, 1 ed. Guanabara Koogan; 2008.

10. Wood AJJ, Whitley RJ, Gnann JW. Acyclovir: a decade later. N Engl J Med [Internet]. 1992 Sep 10 [cited 2018 Nov 10]; 327(11):782-789.

11. Wood MJ, Johnson RW, McKendrick MW, Taylor J, Mandal BK, Crooks J. A randomized trial of acyclovir for 7 days or 21 days with and without prednisolone for treatment of acute herpes zoster. N Engl J Med [Internet]. 1994 Mar 31 [cited 2018 Nov 10]; 330(13):896-900.

 

Financiamento: Declaram não haver

Conflitos de interesse: Declaram não haver

Recebido em: 12 de Novembro de 2018.
Aceito em: 21 de Fevereiro de 2019.


© 2026 Todos os Direitos Reservados