Nayara Queiroz Cardoso Pinto1; Lorena Maria Araújo Gomes1; Renan Magalhães Montenegro Júnior1; Sarah Diógenes Alencar2; Marcelo Bezerra Diógenes3; Raquel Diógenes Alencar4
DOI: 10.17545/eOftalmo/2019.0030
RESUMO
Relatar o caso clínico de retinite por citomelovírus em uma paciente transplantada renal que após o diagnóstico foi tratada com ganciclovir endovenoso, entretanto devido a reações adversas a medicação teve que ser suspensa e optou-se pela dose intravítrea de ganciclovir. Após o início da terapia intravenosa a paciente tinha possuído pouca melhora clínica e após a suspensão da medicação optou-se pela dose intravítrea. A paciente respondeu de forma excelente ao tratamento. Na evolução apresentou boa recuperação visual e melhora no aspecto da retinografia colorida e da tomografia de coerência óptica do olho acometido. O olho contralateral não apresentou alterações. A retinite por citomegalovírus é uma doença de rápida evolução e que pode provocar sequelas oculares graves. A detecção e o tratamento precoce resultam em melhor prognóstico visual. O uso do ganciclovir intravítreo possibilita uma boa concentração vítrea e uma boa resposta na maioria dos pacientes relatados, sendo seu uso uma excelente ferramenta de auxílio na recuperação da visão, principalmente nos casos de necessidade de interrupção da medicação intravenosa.
Palavras-chave: Ganciclovir; Citomegalovírus; Transplante de rim; Retinite; Olho.
ABSTRACT
This article aims to report a case of cytomegalovirus retinitis in a patient who underwent renal transplant and was treated with intravenous ganciclovir after diagnosis. However, owing to adverse reactions, this medication had to be discontinued, and an intravitreal dose of ganciclovir was administered instead. The patient showed little clinical improvement after initiation of intravenous therapy, and the intravitreal dose was given as replacement. The patient responded extremely well to the treatment. She showed good visual recovery and improvement on color retinography and optical coherence tomography of the affected eye. The contralateral eye showed no alterations. Cytomegalovirus retinitis is a rapidly evolving disease that can cause severe ocular sequelae; early detection and treatment of this disease result in better visual prognosis. The use of intravitreal ganciclovir allows a good vitreous concentration and a good response in most patients, as reported previously. It is an excellent tool for vision recovery, especially in patients in whom interruption of the intravenous drug administration is necessary.
Keywords: Ganciclovir; Cytomegalovirus; Renal transplant; Retinitis; Eye.
INTRODUÇÃO
O citomegalovírus (CMV) é um membro da família viral conhecido como herpesvírus, herpesviridae ou herpesvírus humano-5(1). Geralmente se apresenta assintomático ou com sintomas leves em paciente imunocompetente, as condições mais relacionadas com sua manifestação clínica ocorrem em pacientes imunocomprometidos, secundários à depressão da imunidade mediada por células (com contagens de CD4 <50/mm3), estando mais frequentemente associado à síndrome da imunodeficiência adquirida (SIDA), a uso de medicamentos imunossupressores (ex. doenças auto imunes e transplante de órgãos), transfusão de sangue e linfoma(1-3).
O acometimento ocular mais comumente descrito associado a CMV é a retinite, sendo a infecção oportunista ocular mais comum em pacientes com SIDA, afetando de 6 a 38% dos pacientes(4). Em pacientes transplantados, um estudo realizado com 860 pacientes, apenas 19 (2%) foram identificados com complicações oculares, 65% destes sendo infecções oportunistas. Retinite viral herpética (77%) e coriorretinite por fungos (22%) foram observados, sendo a infecção viral o acometimento mais grave sendo mais comum no segundo ano após transplante(5).
Os sintomas podem variar de acordo com local do acometimento retiniano, quando ele ocorrer em região periférica, o paciente pode ser assintomáticos. As queixas oculares começam a aparecer, à medida que a infecção progride. Geralmente, há uma reação de câmara anterior (RCA) leve, assim como no vítreo. Eventualmente, a apresentação clássica e fulminante de uma retinite necrótica hemorrágica aparecerá na periferia, também podendo acometer o polo posterior. Também pode haver uma “angeite congelada” (“frosted angiitis”) em áreas com e sem retinite. Menos comumente, há doença oclusiva venosa e neovascularização do disco óptico(4).
Como a queixa visual nem sempre está presente no início do quadro e seu diagnóstico tardio pode favorecer sequelas oculares graves e pior prognóstico visual, torna-se de grande importância a realização de screening em pacientes com fatores de risco(9). O embasamento visual e a diminuição da visão (<20/40) foi associado a CMV em apenas 29% dos pacientes dos 16 casos diagnosticados, em um estudo envolvendo 120 pacientes com retinite por CMV(6).
Em pacientes com SIDA a orientação de exame oftalmológico é mandatória para todo paciente com CD4 <100/mm3. No uso de medicamentos imunossupresores sabe-se que quanto maior a dose e o tempo de uso, maior o risco de desenvolvimento da retinite CMV, esses pacientes também devem ser acompanhados principalmente em situações em que alguma outra doença oportunista tenha se instalado(6-8).
O tratamento classicamente adotado é realizado com ganciclovir intravenoso (GIV), que possui benefício do controle e redução sistêmica do CMV e da taxa de mortalidade, entretanto apresenta como principal complicação a pancitopenia. Alternativamente a injeção intravítrea de ganciclovir (IVTG) foi introduzido, sendo método fácil, seguro, com concentrações rápidas e altas da droga intraocular(10).
RELATO DO CASO
Paciente M.J.S, feminina, 45 anos, transplantada renal secundária à nefropatia por IgA, foi encaminhada ao serviço de oftalmologia do Hospital Universitário Walter Cantídio em novembro de 2016 com queixa de baixa visual há 1 mês no olho direito e uso endovenoso de Ganciclovir, em dose de ataque, corrigida pelo seu clearence de creatinina há 2 semanas.
Ao exame, apresentava acuidade visual corrigida de 20/60 no olho direito (OD) e 20/20 no olho esquerdo (OE), biomicroscopia: precipitados ceráticos finos e RCA de 1+/4+, fácica no OD e sem alterações no OE. PIO normal em ambos os olhos e fundoscopia: nervo óptico borrado, lesão retiniana esbranquiçada de limites imprecisos e com hemorragias retinianas próximo à arcada temporal inferior no OD (Figura 1A, 1C e 2A) e sem alterações no OE (Figura 1B e 1D).


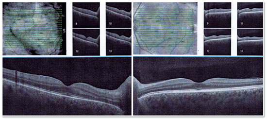
A tomografia de coerência óptica (OCT) da mácula demonstrou atenuação da depressão foveal e aumento da espessura retiniana com a presença de pequenos espaços hiporrefletivos no OD e presença de edema em nervo óptico (Figura 3). Foi mantido a dose de ataque de Ganciclovir endovenoso e a paciente foi reavaliada com 15 dias, porém a lesão permaneceu com sinais de atividade e a paciente iniciou quadro de leucopenia persistente. Então, foi suspendo o Ganciclovir endovenoso e realizadas 2 injeções intravítreas de Ganciclovir na dose de 2mg/0,1ml com intervalo de 15 dias. Após 15 dias da última aplicação, ela apresentou acuidade visual corrigida de 20/25, sem RCA, nervo óptico com bordas mais definidos e lesão retiniana de bordas regulares com aspecto cicatricial e sem hemorragias no OD (Figura 1E e 2B). O OCT de mácula demonstrou depressão foveal fisiológica e ausência de espaços hiporrefletivos (Figura 4). Após 3 meses da injeção intravítrea, permaneceu sem sinais de recidiva.

DISCUSSÃO
A retinite por citomegalovírus é um exemplo de resposta da retina a um organismo de baixa virulência em um hospedeiro imunologicamente comprometido. Os pacientes transplantados também apresentam risco para desenvolver a retinite por CMV devido uso de medicações imunossupressoras, um estudo feito com 25 pacientes com transplante renal, 21 pacientes apresentaram alguma alteração ocular, sendo as principais catarata (15) e despigmentação epitelio pigmentar retina (5), outras incluiram elevação da pressão intraocular (PIO) (4) e glaucoma (1). A alteração ocular mais grave relatada foi a retinite por CMV em 2 casos(7).
Em outro estudos foram avaliados 39 pacientes que receberam transplante renal e as suas complicações oculares, destes 9 (23%) tiveram catarata sub-capsular posterior precoce, dois (5%) desenvolveram retinite por citomegalovírus (RCMV) e um desenvolveu glaucoma induzido por esteróides. As lesões oculares encontradas foram todas atribuíveis ao uso do imunossupressor. Trinta e cinco (87%) apresentavam anticorpos fixadores de complemento para citomegalovírus(8). Dos casos de RCMV, um evoluiu rapidamente em ambos os olhos, causando grande dano retiniano, evoluindo para cegueira legal. O segundo caso, apresentou baixa visual grave em um dos olhos. Interessante observar que 10 pacientes apresentaram altos títulos de anticorpos para CMV, mais importante ainda, seis mostraram um aumento de título durante o período de observação, entretanto apenas 2 casos desenvolveram a RCMV.
O ganciclovir endovenoso é o tratamento mais comum para RCMV, mas por ser apenas virostático, a terapia de manutenção é necessária para prevenir a recidiva da infecção. É relatado que em até 12-20% das infecções podem não se resolver com terapia de indução, e muitos pacientes recidivam em um tempo médio de cerca de 8 semanas durante a terapêutica de manutenção. Outra dificuldade com uso do Ganciclovir é seu efeito tóxico, como ocorreu com a paciente do caso relatado, sendo a injeção intravítrea um boa opção nesses casos, tendo como vantagem disponibilizar a droga diretamente no segmento posterior do olho, evitando reações sitêmicas maiores(11-12).
O uso de injeções intravítreas possui os risco de endoftalmite, hemorragia vítrea, oclusões vasculares retinianas e descolamento de retina (esse risco aumenta com o aumento do número e frequência das injeções). A dose relatada varia de 0,2 a 5mg de Ganciclovir, o intervalo de injeção recomendado é o duas doses semanalmente por 2 semanas, mantido semanalmente até que o sistema imunológico do paciente atinja um estado de reconstituição e a lesão torna-se uma cicatriz(10). No caso reportado, a paciente apresentou uma boa resposta com apenas duas doses da injeção, estando em estado cicatricial e ficando estável pelo período de 12 semanas onde foi acompanhada. Outro estudo demonstra que utilizar ganciclovir intravítreo na dose de 2mg/0,1ml possui boa eficácia, sendo utilizado em 35 olhos de 22 pacientes com RCMV, destes apenas dois pacientes recaíram durante a terapia de manutenção de injeções semanais, em 25 e 42 semanas, respectivamente(11).
A RCMV é uma doença de rápida evolução e que pode provocar sequelas oculares graves. A detecção e o tratamento precoce resultam em melhor prognóstico visual. O ganciclovir intravenoso possui boa resposta nesses casos, prevenindo o envolvimento no olho contralateral, acometimento sistêmico ou visceral, além de diminuir a mortalidade. O uso do GIVT possibilita uma boa concentração vítrea e uma boa resposta na maioria dos pacientes relatados, sendo seu uso uma excelente ferramenta de auxílio na recuperação da visão, principalmente nos casos de necessidade de interrupção da medicação intravenosa(13). Entretanto, cuidado com indução de catarata e possibilidade de descolamento de retina são complicações potenciais importantes.
Foi reportado o caso de uma paciente transplantada renal de 45 anos que o tratamento intravítreo apresentou excelente resposta clínica e visual.
REFERÊNCIAS
1. Gupta M, Shorman M. Cytomegalovirus. Treasure Island (FL): StatPearls Publishing; 2019 Jan.
2. Hosseini SM, et al. Bilateral cytomegalovirus retinitis in a healthy infant. Journal of Current Ophthalmology, Elsevier BV. 2017;29(1):66-8.
3. Chawla R, et al. Treatment of unilateral zone I cytomegalovirus retinitis in acute lymphoblastic leukemia with oral valganciclovir and intravitreal ganciclovir. Oman Journal of Ophthalmology. 2017 Oct;10(3):250-2.
4. Yannuzzi, LA. Atlas de Retina. 1ª ed. Elsevier, Rio de Janeiro, 2010.
5. Ng P, McCluskey P, McCaughan G, et al. Ocular complications of heart, lung, and liver transplantation. Br J Ophthalmol. 1998 Apr;82:423-8.
6. Colby DJ, et al. Prevalence and predictors of cytomegalovirus retinitis in HIV-infected patients with low CD4 lymphocyte counts in Vietnam. International Journal of Std & Aids. 2013 Dec;25(7):516-22.
7. Berkowitz JS, et al. Ocular complications in renal transplant recipients. The American Journal of Medicine. 1973 Oct;55(4): 492-5.
8. Porter R, et al. Incidence of Ocular Complications in Patients Undergoing Renal Transplantation. Bmj. 1972 Jul;3(5819):133-6.
9. Liu Y, et al. Diagnostic Utility of Ocular Symptoms and Vision for Cytomegalovirus Retinitis. Plos One. 2016;11(10):e0165564.
10. Choopong P, et al. Treatment outcomes of reduced-dose intravitreal ganciclovir for cytomegalovirus retinitis. Bmc Infectious Diseases. 2016 Apr;16(1):1-7.
11. Morlet N, et al. High dose intravitreal ganciclovir injection provides a prolonged therapeutic intraocular concentration. Br J Ophthalmol. 1996;80(3):214-6.
12. Harris ML, Mathalone MB. Intravitreal ganciclovir in CMV retinitis: case report. Br J Ophthalmol. 1989;73(5):382-4.
13. Rabadão E, Duque V, Meliço-Silvestre A. The treatment of cytomegalovirus retinitis in human immunodeficiency virus infection. Acta Médica Portuguesa. 1999 Jun;12(4-6)203-7.
INFORMAÇÃO DOS AUTORES






Financiamento: Declaram não haver
Conflitos de interesse: Declaram não haver
Recebido em:
25 de Abril de 2019.
Aceito em:
27 de Setembro de 2019.