Artigo

Acesso aberto Revisado por pares

8827

Visualizações

 


Casos Clínicos Discutidos

Resolução de metástase coroidal em adenocarcinoma pulmonar com gefitinibe

Resolution of choroidal metastasis in lung adenocarcinoma with gefitinib

Andrea Mara Simões Torigoe; Gustavo de Carvalho Pazeto; Ahmad Mohamad Ali Hamade; Ricardo Ramos Daoud Yacoub

DOI: 10.17545/eOftalmo/2022.0010

RESUMO

A coroide é a estrutura de maior ocorrência de metástase ocular. Os sítios que mais comumente metastatizam para a coroide são o pulmão e mama, sendo o carcinoma pulmonar responsável por cerca de 30% das metástases coroidais. Relatamos o caso de uma paciente do sexo feminino com metástase coroidal em olho esquerdo por adenocarcinoma pulmonar. A paciente apresentou baixa da acuidade visual com a presença de massa em região temporal superior, endofítica, irregular e não-pigmentada, associada a um descolamento de retina neurossensorial. Foi conduzida com o imunomodulador Gefitinibe, um medicamento classe dos inibidores da tirosina quinase. Após 03 meses em uso da medicação, a paciente apresentou melhora dos sintomas visuais, e acentuada regressão da lesão em olho esquerdo. O tratamento evidencia o benefício da medicação em paciente com este tipo específico de tumor.

Palavras-chave: Metástase coroidal; Gefitinibe; Adenocarcinoma pulmonar

ABSTRACT

The choroid is the structure with the highest occurrence of ocular metastasis. The sites that most commonly metastasize to the choroid are the lung and breast, with lung carcinoma responsible for about 30% of choroidal metastases. We report a case of a female patient with choroidal metastasis in the left eye due to pulmonary adenocarcinoma. The patient presented low visual acuity with the presence of a mass in the upper temporal region, endophytic, irregular and non-pigmented, associated with a detachment of sensorineural retina. It was conducted with the immunomodulator Gefitinib, a drug class of tyrosine kinase inhibitors. After 03 months using the medication, the patient showed improvement in visual symptoms, and marked regression of the lesion in the left eye. The result shows the benefit of this medication in a patient with this specific type of tumor.

Keywords: Choroidal metastasis; Gefitinibe; Lung adenocarcinoma

INTRODUÇÃO

A coroide é o mais frequente local ocular de ocorrência de metástases1, outros descritos são o corpo ciliar, a íris, a retina neural, o nervo óptico e, em alguns casos, o vítreo2, sendo que somente um 25% desses casos possuem a identificação do sítio primário tumoral, ao diagnóstico2.

Os sítios que mais comumente metastatizam para a coroide são o pulmão e mama1,3, sendo o carcinoma pulmonar responsável por cerca de 30% das metástases coroidais. Sintomas como turvação visual, perda do campo e ou diminuição da acuidade visual são os sintomas visuais mais frequentes2,3 e muitas vezes os primeiros sintomas a serem manifestos.

Além de ocorrer mais frequentemente em pacientes com adenocarcinoma, níveis séricos elevados de biomarcadores – CEA, CA-153 e PSA total – teriam um valor preditivo positivo para metástase ocular em pacientes idosos4.

No Brasil, cerca de 70% dos casos apresentam doença localmente avançada ou metastática no momento do diagnóstico5. Apesar do câncer pulmonar representar a principal causa de mortalidade entre as neoplasias6,7, dois terços das metástases coroidais secundárias apresentam respostas favoráveis a diferentes tratamentos sistêmicos ou oculares, justificando o diagnóstico e tratamento precoces, elevando a qualidade de vida do paciente.

A quimioterapia sistêmica é mais eficaz no tratamento de metástases oculares em tumores quimiossensíveis, como o carcinoma de pequenas células2. Já para neoplasia de não pequenas células há relatos de casos com resultados de reversão de metástase coroidal com o uso de bevacizumabe, um anti-VEGF8-10. Quimioterapia, fotocoagulação, criocirurgia e ressecção cirúrgica estão entre as opções disponíveis frente às metástases oculares, atualmente2.

A ocorrência de metástase ocular é maior em pacientes com doença avançada e nos casos de adenocarcinoma; tipo histológico que passou a ser o mais frequente nos últimos 15 anos2. Essas duas características associadas à melhora na sobrevida obtida a partir das novas modalidades terapêuticas, a terapia alvo molecular e a imunoterapia11, sugerem que os pacientes recém diagnosticados poderiam ser beneficiados por uma rotina de rastreamento de metástase ocular.

O gefitinibe é um inibidor seletivo da tirosina-quinase do receptor do fator de crescimento epidérmico (EGFR = epidermal growth factor receptor), comumente expresso em tumores sólidos humanos de origem epitelial. A inibição da atividade tirosina-quinase do EGFR inibe o crescimento tumoral, metástase e angiogênese e aumenta a apoptose das células tumorais12.

O objetivo deste é relatar um caso onde foi observado uma surpreendente resolução de metástase coroidal associado à adenocarcinoma pulmonar com o uso de Gefitinibe sistêmico.

 

RELATO DO CASO

Paciente do sexo feminino, 60 anos, assintomática, durante exames de rotina foi encontrado uma massa em lobo inferior do pulmão esquerdo (LIE) no raio X de tórax. A paciente não apresentava comorbidades e negava tabagismo. O PET-CT realizado na sequência evidenciou a massa pulmonar com 5,0x4,0x3,5 cm no LIE e linfonodo mediastinais em cadeias paratraqueais subcarinais, inferiores e bilaterais, no ligamento pulmonar inferior esquerdo e para-aórticos descendentes e linfonodo no hilo pulmonar esquerdo. Foi submetida, em outro serviço, a lobectomia de LIE e esvaziamento de linfonodos mediastinais.

O exame anatomopatológico revelou adenocarcinoma CPNPC de pulmão, estadiamento patológico pT2b pN2. A pesquisa de mutação EGFR (mutação de ativação do receptor de fator de crescimento epidérmico) foi positiva para deleção no éxon 19 e não foram identificadas mutações nos genes KRAS, NRAS, BRAF e ALK. Para pesquisa de PDL-1 foi observada expressão de 30%.

Após a cirurgia, foi encaminhada ao serviço de Oncopneumologia do HC Unicamp para tratamento adjuvante (4 ciclos de carboplatina+paclitaxel e radioterapia em mediastino 4500 cGy 3D sequencial). No PET-CT pós-quimioterapia apresentava opacidades em vidro fosco e espessamento intersticial interlobular, em lobo superior esquerdo (LSE), correspondendo a pneumonite pós radioterapia.

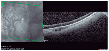
Um ano após o término da quimioterapia, iniciou com recidiva de massa pulmonar hipercaptante no lobo médio. Apresentou cefaleia holocraniana e turvação visual, associado a fotopsias. A tomografia de crânio não evidenciou alterações, mas o mapeamento retiniano demonstrou uma lesão sub-retiniana macular de aspecto esbranquiçado, elevado com cerca de 10 diâmetros papilares, temporal superior. Acuidade visual olho direito de 20/20, sem lesões dignas de nota; e 20/50 no olho esquerdo, associada à lesão sólida, endofítica, com delimitação irregular, hipocrômica, temporal superior, medindo na base cerca de 10 mm à retinografia e altura de 2,8 mm ao ultrassom, com presença de descolamento seroso setorial inferior da retina e ausência de ângulo Kappa. À tomografia de coerência óptica (OCT) observou-se descolamento da retina neurossensorial, com acometimento perifoveal e abaulamento coroidal temporal superior, com compressão da retina externa (Figura 1).

 


Figura 1. Tomografia de coerência óptica (TCO) no A-scan (à esquerda) uma massa de refletividade heterogenia com margens irregulares e demonstrando no B-scan (à direita) uma elevação com bordas irregular em topografia de coroide com fluido sub-retiniano adjacente na arcada temporal superior, podemos observar uma desorganização das camadas externas com pontos hiperreflectivos.

 

Devido à progressão da doença metastática, foi introduzido Gefitinibe 250mg/dia.

Após 03 meses em uso de Gefitinibe 250mg a paciente apresentou melhora dos sintomas visuais, recuperação da acuidade visual para 20/20 e acentuada regressão da lesão em olho esquerdo, com alteração focal temporal superior do epitélio pigmentar da retina, sem sinais de atividade, com OCT da área lesional mostrando atrofia dos espaços císticos das camadas de Satler e Haller, mas manutenção da integridade das camadas retinianas externas e internas e da zona elipsoide. Novo PET-CT foi notada a remissão da doença, não se observando lesões metastáticas e sem sinais de doença ativa (Figuras 2 a 5).

 


Figura 2. Tomografia de coerência óptica (TCO) na imagem A-scan (à esquerda) presença de dois ramos vasculares de grande calibre, sugerindo serem os vasos nutridores da metástase. na imagem B-scan (à direita) aumento da espessura da coroide na região onde se encontrava o tumor, além de ausência de camadas externas.

 

 


Figura 3. TCO no B-scan temos acúmulo de material hiper refletivo sub-retiniano e atenuação da camada elipsoide.

 

 


Figura 4. Exame PET-CT demonstrando área de hipermetabolismo no úmero esquerdo (SUV = 8,5), sugestiva de metástase. *SUV (standard uptake value), que expressa a atividade metabólica desta lesão

 

 


Figura 5. Exame de PET-CT demonstrando regressão da lesão no úmero esquerdo pós-terapia com gefitinibe.

 

DISCUSSÃO

Medicações sistêmicas circulam livremente pela coroide, não estando envolvidas na barreira hemato-retiniana, devido aos capilares coroidais, porém a eficácia dos agentes quimioterápicos depende da suscetibilidade tumoral8. A pronta resposta ao controle metastático, com tratamento único utilizando Gefitinibe, para pacientes com mutação EGFR vem demonstrando excelentes e surpreendentes respostas13.

Demonstramos neste caso a remissão completa da metástase ocular em paciente com mutação EGFR- deleção do éxon 19, resultando em excelente qualidade de vida. Recentes estudos têm demonstrado que Gefitinibe prolonga a sobrevida livre de doença, preservando uma favorável qualidade de vida13,14.

Pacientes que nunca fumaram, com histologia de adenocarcinoma, do sexo feminino ou de etnia asiática, são mais propensos a se beneficiarem do tratamento com Gefitinibe13. Estas características clínicas também estão associadas às altas taxas de tumores com mutação positiva do EGFR13 e são as encontradas no caso relatado.

Outras opções de tratamento das metástases oculares do sítio coroidal descritas na literatura incluem: radioterapia de feixe externo, braquiterapia, laser e PDT15.

Em conclusão, demonstramos no relato deste caso a surpreendente eficácia em resolver a metástase coroidal de adenocarcinoma pulmonar em paciente com mutação EGFR. Acreditamos que para evitar um comprometimento irreversível ou perda visual, exames de triagem devem ser realizados precocemente, nos casos de câncer de mama e pulmonar, para o diagnóstico e tratamento precoces de metástases oculares

 

REFERÊNCIAS

1. Kreusel K, Wiegel T, Stange M, Bornfeld N, Hinkelbein W, Foerster M. Choroidal metastasis in disseminated lung cancer: frequency and risk factors. Am J Ophthalmol. 2002;134(3):445-7.

2. Lampaki S, Kioumis I, Pitsiou G, Lazaridis G, Syrigos K, Trakada G, et al. Lung cancer and eye metastases. Med Hypothesis Discov Innov Ophthalmol. 2014;3(2):40-4

3. Su H, Chen Y, Perng R. Symptomatic ocular metastases in lung cancer. Respirology. 2008;13(2):303-5.

4. Ge Q, Zou Y, Shi W, Zhang Y, Li B, Min Y, et al. Ocular Metastasis in Elderly Lung Cancer Patients: Potential Risk Factors of CA-125, CA-153 and TPSA. Cancer Manag Res. 2020;12:1801-1808.

5. Araujo L, Baldotto C, Castro Jr G, Katz A, Ferreira C, Mathias C, Mascarenhas E, Lopes GL, Carvalho H, Tabacof J, Martínez-Mesa J, Viana LS, Cruz MS, Zukin M, De Marchi P, Terra RM, Ribeiro RA, Lima VCC, Werutsky G, Barrios CH, Grupo Brasileiro de Ocologia Torácica. Lung cancer in Brazil. J Bras Pneumol. 2018;44(1):55-64.

6. Mathias C, Prado GF, Mascarenhas E, Ugalde PA, Gelatti ACZ, Carvalho ES, Faroni LD, Oliveira R, Lima VCC, Castro G Jr, Grupo Brasileiro de Oncologia Torácica. Lung Cancer in Brazil. J Thorac Oncol. 2020;15(2):170-175.

7. Herbst R, Morgensztern D, Boshoff C. The biology and management of non-small cell lung cancer. Nature. 2018; 553(7689):446-454.

8. Chen CJ, McCoy A, Brahmer J, Handa J. Emerging Treatments for Choroidal Metastases. Surv Ophthalmol. 2011;56(6):511-21.

9. Makabe K, Kurishima K, Shiozawa T, Miyazaki K, Ohara G, Kagohashi K, et al. Treatment of choroid metastasis from lung adenocarcinoma with bevacizumab-containing chemotherapy: A case report. Exp Ther Med. 2015;11(1):239-242.

10. Kim SW, Kim MJ, Huh K, Oh J. Complete Regression of Choroidal Metastasis Secondary to Non-Small-Cell Lung Cancer with Intravitreal Bevacizumab and Oral Erlotinib Combination Therapy. Ophthalmologica. 2009;223(6):411-3.

11. Arbour K, Riely G. Systemic Therapy for Locally Advanced and Metastatic Non–Small Cell Lung Cancer. JAMA. 2019;322(8):764-774.

12. Inoue M, Watanabe Y, Yamane S, Kobayashi S, Arakawa A, Tsukahara, T et al. Choroidal Metastasis with Adenocarcinoma of the Lung Treated with Gefitinib. Eur J Ophthalmol. 2010;20(5):963-5.

13. Mok TS, Wu YL, Thongprasert S, Yang CH, Chu DT, Saijo N, et al. Gefitinib or Carboplatin–Paclitaxel in Pulmonary Adenocarcinoma. N Engl J Med. 2009;361(10):947-57.

14. Verduyn SC, Biesma B, Schramel FMNH, van der Scheer FW, Langenfeld MK, de Peuter MA, et al. Estimating quality adjusted progression free survival of first-line treatments for EGFR mutation positive non small cell lung cancer patients in The Netherlands. Health Qual Life Outcomes. 2012 Sepo10;10:108.

15. Schields JA, Shields CL. Intraocular Tumors an Atlas and Textbook, 3rd Edition. Lippincott, Williams & Wilkins. 2015.

 

INFORMAÇÃO DOS AUTORES

Financiamento: Declaram não haver

Conflitos de Interesse: Declaram não haver

Recebido em: 19 de Julho de 2022.
Aceito em: 8 de Agosto de 2022.


© 2026 Todos os Direitos Reservados