Hélia Soares Angotti
DOI: 10.17545/e-oftalmo.cbo/2015.44
A patogênese do Pterigio está fortemente relacionada à exposição à luz ultravioleta, ressecamento, inflamação crônica e exposição a vento e poeira; substâncias irritantes também são consideradas fatores predisponentes na histopatologia na degeneração elástica do colágeno estromal e tecido fibrovascular subepitelial.
A prevalência aumenta progressivamente com a proximidade à linha do equador.
O método de correção cirúrgica considerado pela comunidade médica e pela literatura é o transplante de conjuntiva; entretanto exponho aqui minha experiência e de nossa equipe em aproximadamente 6.000 casos desde 1996, realizados com membrana amniótica. As vantagens na utilização desse método são em primeiro lugar a economia do tecido conjuntival do paciente, o mesmo índice de recidiva do transplante livre de conjuntiva ± 4%, aspecto estético igual ou melhor e a obtenção infinda desse tecido. A técnica utilizada nos últimos quatro anos inclui anestesia subtenoniana com Levobupivacaina 0,50% 5mg/mL, a ampla excisão do corpo do pterigio, a retirada da cabeça por dissecção ou arrancamento, uso de mitomicina 0,02 por 2 minutos e lavado intensamente com soro e uso da cola de fibrina para posicionamento do retalho de membrana amniótica.
Casos de Pterigio primário, recidivados, ou extensos assim como os pterígios duplos nasal e temporal que requerem muito tecido, são facilmente reparados com retalhos de membrana amniótica e não poderiam ser feitos com retalhos conjuntivais pela extensão de tecido requerida.
Os retalhos de membrana amniótica são preparados a partir de placentas obtidas por parto cesáreo, em pacientes com pré-natal completo, com exames para hepatites, sífilis e HIV e colocados em retalhos de papel de filtro e estocados em geladeira embebidos em solução de antibiótico e glicerina (100%) e hidratados com soro ou ringer no momento da cirurgia. O posicionamento correto da membrana amniótica é com a parte estromal voltada para a superfície ocular (enxerto) e essa servirá como membrana basal ao crescimento de conjuntiva que apresenta estereótipo indistinguível da conjuntiva normal.
O pós-operatório inclui curativo oclusivo por 3 dias com 2 trocas diárias com colírio e pomada de antibiótico e corticoïde. Após os 3 dias é receitado colírio de Hialuronato de sódio 2mg/mL de 2 em 2 horas, mais, colírio de associação antibiótico, mais, corticosteroide 4 vezes ao dia por 1 semana.
É sabido que há polêmicas em vários itens sobre cirurgia de pterígeo - entre eles:
Anestesia: alguns sugerem anestesia retrobulbar, outros peribulbar, outros subtenoniana (nossa preferência), subconjuntival, somente tópica e há até os que realizam cirurgia sob anestesia geral. A experiência, após anos de testes nas várias modalidades, mostrou que a anestesia subtenoniana com Levobupivacaína sem conservante 3 ml proporciona um pouco mais de conforto nesse pós operatorio de sintomatologia tão intensa.
Pós operatorio: no pós operatorio utilizo para analgesia anti-inflamatório não hormonal), associado à Tylex®, Dipirona gotas (até de 4/4 horas).
Cola ou Sutura: Polêmica também é a escolha de cola ou sutura na fixação do retalho, seja conjuntival, seja de membrana amniótica. Minha experiência com cola data de 3 anos e utilizamos apenas cola, com preferência a Tissucol® (Baxter®) - que tem funcionado melhor. Anteriormente usávamos sutura com nylon 10.0. Alguns colegas associam alguns pontos de sutura à cola (4 pontos), mas a experiência com cola e membrana mostrou que não é necessário suturar.
Membrana amniótica: Amnion ou porção interna das membranas placentarias consiste de uma membrana basal e matriz estromal avascular. A composição da membrana basal é semelhante à da conjuntiva, e é considerada como substrato ideal para garantir o crescimento de tecido conjuntival e suporte de um retalho conjuntival. Nos casos nos quais as diversas recidivas impõem um tratamento cirúrgico com todos os recursos a membrana amniótica mostrou ser de grande valia.
A escolha desse tecido na reconstrução da conjuntiva em Exérese de Pterígeo e em outras lesões conjuntivais deve-se às propriedades da membrana facilitando a epitelização, mantendo fenotipo epitelial idêntico ao da conjuntiva e ao mesmo tempo reduzindo inflamação, vascularização e cicatrização.
Também é importante ressaltar a facilidade de obtenção desse tecido e a preservação da conjuntiva para outros procedimentos futuros como recobrimento conjuntival, cirurgias de glaucoma, entre outros, especialmente o excelente resultado estético e funcional assim como o baixo índice de recidiva.
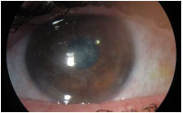
Nas figuras 1 a 8 ilustra-se, caso de Pterígeo extenso que cobria a córnea em olho direito e bilateral, porém menos extenso no olho esquerdo e seu resultado final








Fonte de financiamento: declaro não haver.
Conflito de interesses: declaro não haver.
Recebido em:
4 de Fevereiro de 2016.
Aceito em:
11 de Fevereiro de 2016.